肺气肿会传染给他人吗能传染吗
admin 阅读:1689 2026-01-08
肺气肿不会传染。它属于慢性阻塞性肺疾病的一种表现形式,主要由于长期吸烟、空气污染或遗传因素导致肺泡结构受损,这种病变不具备传染性。

1、病因机制:
肺气肿的关键病理特征是肺泡壁的弹性纤维断裂,形成不可逆的扩张。常见的诱因包括烟草中的有害物质长期刺激、职业暴露于粉尘环境,或是α-1抗胰蛋白酶缺乏等遗传问题。这些因素会引发持续性的炎症反应,但这类炎症并非由病原体引起,因此不具有传染性。2、症状特征:
患者通常会出现逐渐加重的呼吸困难,并伴有“桶状胸”的体征,咳嗽时多为白色黏液痰。与感染性疾病不同,肺气肿患者一般没有发热或脓痰等感染表现,病情加重往往是在急性发作期间合并了感染,而基础的肺部病变本身并不会通过飞沫或接触传播。3、诊断依据:
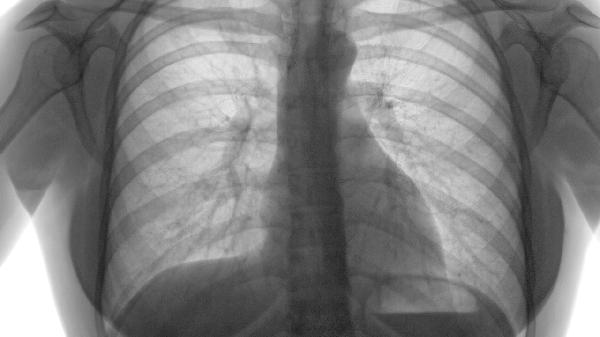
确诊需要结合肺功能检查,显示残气量增多、弥散功能下降,胸部CT则可见肺野透亮度增加以及肺大疱的形成。这些检查结果都指向结构性的肺部损害,和结核杆菌培养阳性或病毒核酸检测等传染病的诊断方法有明显区别。
4、治疗原则:
治疗以使用支气管扩张剂如噻托溴铵、吸入型糖皮质激素如布地奈德来控制症状为主,严重患者可能需要长期吸氧。虽然在急性加重期可能会用到抗生素,但这些药物是为了处理继发感染,而不是针对肺气肿本身,治疗方法和传染病防控方式完全不同。5、预防措施:
关键在于戒烟,避免病情进一步恶化,同时外出时佩戴口罩以减少污染物吸入。与传染病预防不同,不需要采取隔离措施,但建议接种肺炎疫苗和流感疫苗,以降低呼吸道感染风险,防止病情急性加重。
声明
本页面信息为第三方发布或内容转载,仅出于信息传递目的,其作者观点、内容描述及原创度、真实性、完整性、时效性本平台不作任何保证或承诺,涉及用药、治疗等问题需谨遵医嘱!请读者仅作参考,并自行核实相关内容。








