病毒性脑炎颅内感染的常见原因有哪些
admin 阅读:526 2026-02-19
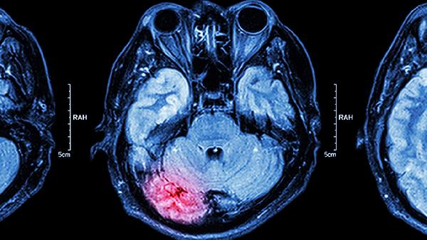
病毒性脑炎是一种由多种病毒引起的颅内感染,常见的病原体包括单纯疱疹病毒、肠道病毒、虫媒病毒、麻疹病毒和EB病毒等。这些病毒主要通过呼吸道、消化道、蚊虫叮咬、直接接触以及母婴垂直传播等方式进入人体。



声明
本页面信息为第三方发布或内容转载,仅出于信息传递目的,其作者观点、内容描述及原创度、真实性、完整性、时效性本平台不作任何保证或承诺,涉及用药、治疗等问题需谨遵医嘱!请读者仅作参考,并自行核实相关内容。








